各種健康保険取扱
診療科目
歯周治療、インプラント治療、審美歯科、ホワイトニング、オールセラミック、ラミネートベニア、メラニン除去、矯正、顎態調和法、小児歯科、虫歯予防コース
診療時間
| 月火木金 | 9:00-12:00 | 13:00-18:00 |
| 土曜日 | 9:00-12:00 | 13:00-17:00 |
| 休診日 | 水曜日・日曜日(年末・年始・GW は電話等でご確認ください) | |
地図・交通
|
![]() |
||||||||||||||||||
外観・受付

待合室
診療前に、リラックスして頂けるように海水の水槽を設置しております。また、歯科医院専用の口腔ケア用品も数多く取り揃えておりますので、お気軽にご相談ください。

診察室
モニター画面に季節の映像を流しております。
また、トップライトからは明るい自然の光が差し込み、青空を垣間見ることができます。
カウンセリングコーナー
本医院は、患者様とのコミュニケーションを大切にしております。初診時の治療前、治療に対する不安やご要望などをお伺いさせて頂くスペースです。
メンテナンスルーム
歯科衛生士プロフェッショナルケア専門ルーム。
デジタルレントゲン装置
従来のレントゲン撮影とくらべ、最大で1/10の被爆線量での撮影が可能です。また、鮮明な画像がモニターに映し出されます。
EO水
除菌効果に優れる酸化還元電位水で、治療用
機材・器具・機器の消毒を行っております。
また、人体に無害ですので、洗口剤としても販売しております。
生体情報モニタ
安全管理のため、処置中の血圧と脈拍を変動率でリアルタイムに軌跡表示し、急変の徴候を早期にアラームによって知らせてくれます。
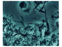
位相差顕微鏡
患者様ご自身の口腔内の細菌をモニター上で
確認して頂き、治療と予防の大切さをご理解頂いております。
電動麻酔注射器
コンピューター制御により麻酔薬を入れる
スピードをコントロールすることで、極力
痛みの少ない注射を行うようにしております。
歯科用口腔内カメラ
歯の赤染めをした後、磨き残している所を
モニター画面で確認して頂き、より効果的な
歯磨きのアドバイスをさせていただきます。
3D根管充填システム
歯内療法の最終仕上げ時に、ガタパーチャーを軟化しパスカルの原理を利用することで根管充填を緊密に行うことができます。
サージテル(拡大鏡)
テレスコープとも呼ばれております。口腔内を拡大して見ることが出来る眼鏡です。細かいところまで見えますので、より精密な治療を行うことが可能になります。
オートクレーブ (高圧滅菌)
機材・器具を滅菌する機械です。高圧と高温で文字通り、細菌、ウィルスを死滅させるものです。高圧処理のできない器具は、超音波や薬液などで滅菌処理をしています。
デンタポート(根管拡大形成器)
歯の根の治療に使用します。オートコントロールシステムにより、ファイルの食い込みや破折を低減し、正確で安全な根管拡大形成ができます。
細菌検査簡易キット
バナペリオ(プラーク検査)
歯周病菌のなかでも代表的な3菌種の
存在を簡単に測定することができます。
デントカルト(唾液検査)
カリエスリスクを知る目安になります。
個人により異なるリスクを把握することにより効果の高い虫歯予防が可能となります。