インプラント治療の仕組み

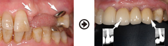
歯周病 抜歯 約半年後、インプラント埋入
歯周病 抜歯 約半年後、インプラント埋入

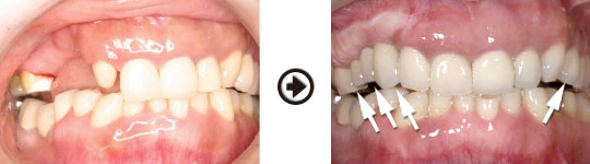
インプラント治療(GBRと併用)症例

骨が少ない場合は、厚みや高さを増大(GBR)させた、しっかりとした骨の中に、 インプラントを理想的な位置に植立することがインプラントを長持ちさせる為には、重要です。

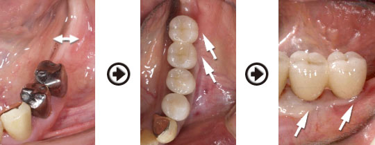
インプラント治療(GBR)過程
インプラント治療(GBR)過程
前歯の骨が薄い場合でも治療回数と期間はかかりますが、予知性の高いインプラント治療が可能です。

骨を再生させた所にインプラントを植立しました

良い状態を保つため、骨の再生だけでなく歯肉を強化し、清掃しやすい環境に整えます。

骨造成をすることにより清掃性が良くなりメンテナンスしやすくなりました。
インプラント治療(GBR)過程
骨幅が無い所でも骨造成することでインプラント治療が可能になります。
インプラント治療(GBR)過程

インプラント治療(GBR)過程
インプラント治療(GBR)過程
インプラント治療(GBR)過程
インプラント治療(GBR)過程
インプラント治療(GBR)過程
インプラント治療(GBR)過程
インプラント治療(GBR)過程
インプラント治療(GBR)過程
インプラント治療(GBR)過程