インプラント治療を伊東で | 栄光歯科医院 |
伊東市荻バス停より、徒歩1分
●
メールでのお問い合せはこちらから
お問い合せ、ご予約は
0557-37-3456
診療内容
歯周治療
インプラント治療
歯内治療
審美歯科
矯正治療
小児歯科
治療症例
歯周治療
インプラント治療
歯内治療
審美歯科
矯正治療
治療保証について
保証内容
栄光歯科について
診療方針
医院紹介
院長ごあいさつ
スタッフ紹介
求人情報
関連情報
関連リンクのご紹介
スタッフブログ
電話でのご予約、お問い合せ
0557-37-3456
メールでのお問い合せ
eikou@mrh.biglobe.ne.jp
診療時間
月火木金
9:00-12:00
13:00-18:00
土曜日
9:00-12:00
13:00-17:00
休診日
水曜日・日曜日
年末・年始・GW は電話等でご確認ください
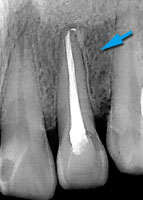
歯内療法症例
歯内療法症例
虫歯が神経まで進行してました。
神経を抜いた後、根尖まで緊密に充填します。
歯根の先に大きな膿がありました。
2年後、骨が再生しています。