インプラント治療を伊東で | 栄光歯科医院 |
伊東市荻バス停より、徒歩1分
●
メールでのお問い合せはこちらから
お問い合せ、ご予約は
0557-37-3456
診療内容
歯周治療
インプラント治療
歯内治療
審美歯科
矯正治療
小児歯科
治療症例
歯周治療
インプラント治療
歯内治療
審美歯科
矯正治療
治療保証について
保証内容
栄光歯科について
診療方針
医院紹介
院長ごあいさつ
スタッフ紹介
求人情報
関連情報
関連リンクのご紹介
スタッフブログ
電話でのご予約、お問い合せ
0557-37-3456
メールでのお問い合せ
eikou@mrh.biglobe.ne.jp
診療時間
月火木金
9:00-12:00
13:00-18:00
土曜日
9:00-12:00
13:00-17:00
休診日
水曜日・日曜日
年末・年始・GW は電話等でご確認ください
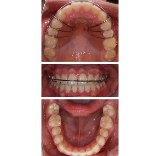
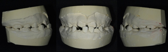
矯正治療:顎態調和法症例
術前・術中
保定中
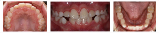
その他の症例
反対咬合(受け口)と叢生(乱ぐい歯)が改善されました