歯周病の治療について
歯周病、インプラントの治療は近年、急速な進歩を遂げてきています。
以前は「不治の病」とさえ言われていた歯周病も現在では、進行を止めることが可能となり、健康を取り戻すことができるのです。
歯周治療の目的は、歯周ポケットをなくして細菌を減らし、歯の周りの組織の破壊を止めることです。慢性(成人性)歯周炎の初期段階では歯磨きや歯石の除去、タバコ、噛み合わせなどの歯周病を悪化させる因子の除去により多くの場合で治癒します。しかしながら、中等度から重度の歯周病は外科手術が必要な場合が多く、細菌検査を行って薬物療法を併用することもあります。
切除療法は歯周ポケットを浅くする確実な処置ですが、歯が長くなるなどの問題があります。また、再生療法は骨を増やしてポケットを浅くできますがケースが限られ、費用も高く術者の経験にもよりますが、成功率は100%ではありません。一般的に、垂直的に骨が溶けている場合は再生療法で、水平的に溶けている場合は切除療法が適応になります。再生療法が可能かどうかは、患者様の全身的な状態、歯磨きの状態、喫煙の有無や種々の検査を行い診断します。現在、エムドゲイン法、GTR法、骨移植法があり、これらを併用することもあります。また、歯周形成外科と呼ばれる治療法で上あごの歯肉を移植することにより歯肉の再生も可能になります。
現在は、この再生療法がインプラントに応用されております。従来では、骨の足りない所にはインプラント治療はできませんでした。しかし、骨を移植することにより機能的にも、審美的にも満足して頂ける結果に回復させることが可能になって参りました。ただし、歯周病治療が不十分ですとインプラントに歯周病菌が感染し、両方とも悪くなってしまいます。治療後は、噛み合わせのチェックや歯科衛生士による専門的なクリーニングなどのメンテナンスを定期的に受けることが歯周病の再発を予防し、お口の健康を維持するために必要となります。
歯周病とはどんな病気
歯周病とは、口中の細菌によって歯の周りの歯ぐき(歯肉)や、歯を支える骨などが破壊される病気で、かつては歯槽膿漏と言われていました。現在、成人の約80%が歯周病にかかっており、30才以上の方の歯の喪失原因の第1位になっています。
この原因として、歯の定期健診を受ける習慣があまりないことが考えられます。
最近では歯周病は心臓血管疾患、呼吸器疾患、糖尿病、低体重児出産、 早産の重大なリスクファクターであることがわかってきました。
歯周病は自覚症状が少なく、発症すると適切な処置を行なわない限り 加齢と共に進行していきます。
一生自分の歯で噛むためには、むし歯予防と同時に歯周病の予防と 適切な治療が重要となるのです。
そのために、当医院では歯科医や歯科衛生士による専門的な診査を行い、患者様の歯肉の健康状態を調べることを推奨しております。きちんと歯周病の検査を行なうことによって、適切な治療法、管理法を提供することが可能になるのです。
歯周病の進行段階

プローブという器具を使用して歯肉の中の状態を調べます。





歯周病の検査(歯周病精密検査)
いくつかの検査を行って、1本1本の歯の健康状態(歯周病の進行具合)を調べます

歯を支えている骨の状態や目で見えない部分を調べます

歯を支えている骨の状態や目で見えない部分を調べます
III.歯の動揺度の検査
IV.歯肉からの出血の有無の検査
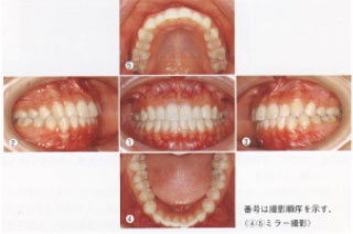
V.デジタルカメラでの口腔内撮影

以上5項目の検査を行いますので
ご予約をお取り下さい。
検査の結果はその日のうちに、担当の歯科衛生士よりご説明いたします。所要時間は45分〜60分程度です。検査は保険の範囲内で行えます。
スケーリング・ルートプレー二ング
歯周病の基本的な治療です。初期の段階であれば歯肉縁下のプラークと歯石を徹底的に取り除くことにより多くの場合で歯周病は治癒します。
歯周病初期治療とその後のメンテナンスについて
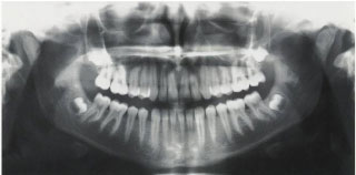
初期治療I お口の中の現状を詳しく知るため10枚のX線写真撮影・デジタルカメラを使用してお口の中のカラー写真数枚撮影・歯周ポケットの深さを測る検査・唾液の量、質 の検査を行い患者様の口腔内の必要な治療についてご説明します。
II 歯周病の原因である歯垢・歯石の除去を担当の衛生士が行います。
同時に患者様には適切なブラッシング方法、生活習慣の改善のアドバイスを
させて頂きます。
III ひと通りの処置が終わったところで再び検査をし、歯ぐきの治り・状態を確認します
IV
V メンテナンスへ
治療によって得られたお口の中の健康な状態を維持させ、再発を防止することが
目的です。
担当の衛生士が今後のメンテナンスプログラムを提案いたします。
通常1〜3ヶ月に1回の間隔で来院していただきますが、お口の中の状況によって
かわります