初期の歯周病の治療
![]() |
![]() |
|
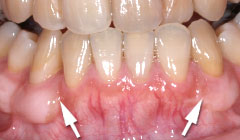
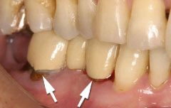
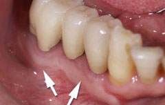
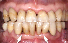
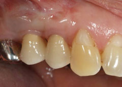
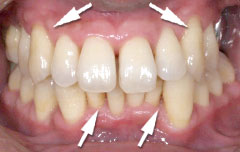
| 歯茎にプラーク(歯垢着が)と歯石の沈認められます。歯肉が腫れ、出血がありました。 | 歯科衛生士の治療と、ブラッシング技術の向上により、歯茎が引き締まり健康的な状態になりました。 | |
![]() |
![]() |
外科手術(中等度・重度歯周病の治療)
組織付着療法![]() |
![]() |
|
| 歯周病が進行したケースでは盲目下でポケット内の歯石を確実に除去するには限界があります。 | 局所麻酔をした後、歯茎を切開し、明視下にて歯根面の歯石や炎症組織を取り除き、歯周ポケットの除去をおこないました。 |
![]() ![]() |
![]() ![]() |
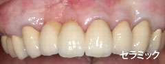
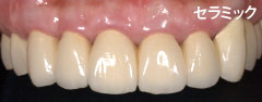
| 深い虫歯のケースでは、切除療法を行い虫歯を取り除き、健全な歯質を歯肉の上に出し、歯肉の盛り上がりを数ヶ月待ってから歯型をとります。 |
![]() ![]() |
||
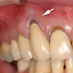
| 一見分りませんが、かなり歯周病が進行していました。歯周ポケットの改善や歯槽骨を平坦にして清掃しやすい環境を整えます。数ヶ月、歯肉の盛り上がりを待ってから適合の良いクラウンを被せます。 | ||
![]() |
![]() |
||
![]() |
![]() |
||
| 切除療法の目的は、しっかりと虫歯を取り除き、健全な歯質の獲得と生理的骨形態を付与することす。治療後の歯肉も、高い清掃性、長期安定性を兼ね揃え、永続性が期待できます。(一方で、歯の形態が長くなる・治癒に時間がかかりますので、切除療法と組織付着療法の術式選択は、患者様とのお話合いの上で決めて行きます。) | |||
再生療法
GTR法 吸収性の膜と移植材を併用することにより軟組織の入り込みを防ぎ、支持組織の再生を期待します。
1.歯周病が進行し、
歯槽骨に大きな欠損ができています。
2.歯石や炎症組織を取り除きました。
3.移植材を入れて、
膜で覆いしっかりと縫合を行いました。
4.術後。
1〜2年後に必要であれば
歯槽骨を平坦にすることもあります。
1.6mmの歯周ポケットがありました。
2.麻酔をかけて歯肉を剥離し、
歯石や炎症組織の除去。
3.エムドゲインゲルを塗布し、
移植材を併用しました。
4.縫合
歯周組織が再生するまで
数ヵ月から1年程度かかります。
1.銀歯の周りに歯周病が進行してます。
2.根と根の間の骨が溶けて穴になってます。
3.術後7ヶ月、骨の再生が認められます。
4.厚い歯肉を作り、セラミックで修復しました。
[歯周形成外科] 歯肉が痩せて歯根が露出した所などの再生を行います。
CTG 上顎口蓋歯肉の内側の結合組織という部分を移植する方法です。![]()

![]()

![]()

![]()

![]()

![]()

![]()

![]()
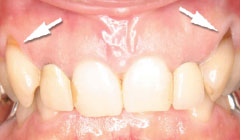
当医院での歯周形成外科症例
CTG ブラッシングで退縮した歯肉を小手術により元にもどしました。(術後3年半)
![]()

![]() |
![]() |
|
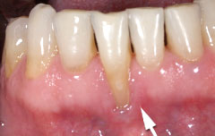
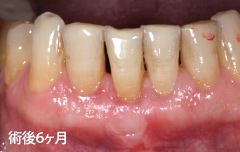
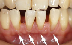
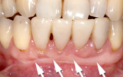
| 歯肉が薄いため退縮が起こってます。 | 小手術をして歯肉を厚くしました。 |

![]()


![]()


![]()


![]()

![]() |
![]() |
||
| 清掃性の良くないブリッジを外した状態。 | FGGを行い、清掃性を改善した状態。 |