オールセラミック クラウン ブリッジ 症例

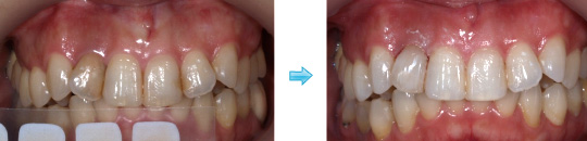
歯槽堤(歯肉)の陥凹を防ぐ為、抜歯部位に骨補填剤と軟組織を移植しました。
ファイバーコア(土台)を製作し、歯肉の成熟を待って、型取りを行います。
オールセラミック クラウン 症例

最少の骨外科処置を行い、歯槽骨と歯肉の調和を図ることにより、予知性が高まります。

メタルボンド(陶材焼付け鋳造冠) 症例
金属のフレームに白いセラミックを貼ってあります。
自然なツヤがあり、着色や黄ばみが起こりにくい素材です。
十分な強度がありますが、 金属のフレームを使っているため
セラミック本来の光の透過性がありません。

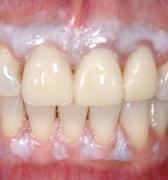
オールセラミック クラウン症例
すべてが白いセラミック(陶材)でできています。自然なツヤがあり光を通すので、口元に明るい印象を与え、美しい仕上がりが期待できます。
(歯の土台は光透過性のあるグラスファイバーで作成します。)


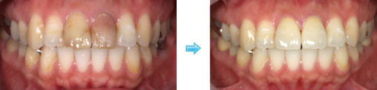
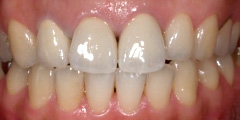
オールセラミック クラウン症例
オールセラミックの最大の利点は光の透過や反射が自然で、現在のクラウンでは最も審美性に優れています。材料学的に生体親和性、科学的安定が高く、着色、変色しないなど、お口の中で経年的に安定した物性を有します。また、物性的にも高強度型セラミック材料の開発により、力学的強度が著しく向上し、臨床的信頼も高まっております。
| 歯型をとり仮歯を入れました。 不自然な感じがします。 | 製作されたオールセラミック
優れた光透過性。 |
装着後 自身の歯が戻った様に自然な感じに成りました。 |
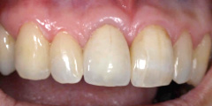
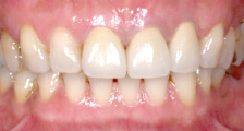
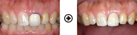
前歯にファイバーコアを入れ、オールセラミッククラウンを被せた症例
歯内療法をした後、グラスファイバー系のコア(土台)を入れました。利点として、歯根破折を起こしにくい、光の透過性が天然歯に近い、金属を使わないので歯肉に影ができないなど、美しく、自然な仕上がりとなります。




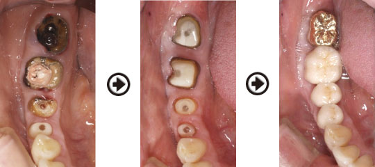
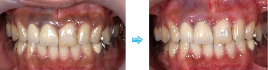
歯内療法、切除療法(FGG、歯肉強化)を行い、ファイバーコアを立てた後、適合の良いゴールドクラウンとオールセラミッククラウンを装着しております。
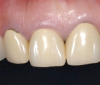
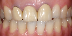
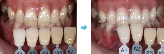
オールセラミック症例 (前歯3本)[1]





オールセラミック症例 (前歯3本)[2]



歯内療法、ファイバーコアを立て、歯の色調を見ます。


ホワイトニング症例
ホームホワイトニング
オフィスホワイト二ング

メラニン色素除去症例(専用の薬液を塗りメラニンを取り除きました。)

